Single-Port Robotic Surgery in Fort Wayne, IN

Single-port robotic surgery allows complex urologic operations—such as prostatectomy and partial nephrectomy—to be performed through a single small incision. This advanced technique reduces pain, speeds recovery, minimizes scarring, and enhances surgical precision. Dr. Colin Linke specializes in SP robotic surgery for prostate cancer and kidney tumors in Fort Wayne and Northeast Indiana.

Single Port Robotic Instruments
Single Port da Vinci Robot
Single Port Access Port

Why Choose Single-Port Robotic Surgery?

Single-port robotic surgery uses one small incision—usually 2 inches—to perform the entire procedure. This approach results in significantly less trauma to surrounding tissue while allowing excellent visualization, precision, and control.

Smaller Incision

Only a single 2-inch incision

Faster Recovery

Back to regular activity within 1 week

Enhanced Precision

Regionalized surgery, opposed to traumatic abdominal surgery

Single-Port Robotic Prostatectomy

The single-port approach allows prostate cancer removal through one small incision on the lower belly, minimizing trauma and optimizing functional outcomes such as continence and sexual function. This approach is utilized for cancer (radical prostatectomy) or BPH prostate tissue removal (subtotal prostatectomy)

Docking system for a partial nephrectomy single port
Transvesical prostatectomy with the single port robot
Single Port incision for a radical prostatectomy

Advantages of Single-Port Prostatectomy

  • EARLIER return of urinary continence (key difference!)

  • LESS postoperative pain

  • MINIMAL blood loss

  • ONE small hidden incision

  • ENHANCED nerve preservation

Single-Port Robotic Partial Nephrectomy

For kidney tumors, the single-port system enables precise excision of the mass while preserving healthy kidney tissue. Most surgeries are performed through a single flank or lower abdominal incision, reducing pain and recovery time.

Left kidney mass for partial nephrectomy
Illustration of single port partial nephrectomy
Single Port Partial Nephrectomy Incision

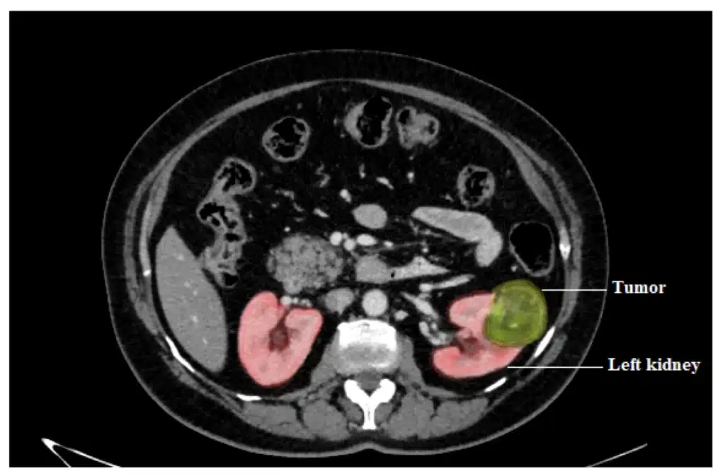
Image showing the kidney mass

CT scan shows the location of the kidney cancer

Excision of the mass

The single-port robot provides excellent precision to remove the kidney mass

The End Result

This single 2-inch incision above the hip bone allows for full recovery in 1 week!

Advantages of Single-Port Partial Nephrectomy

  • LESS post-operative pain

  • BETTER cosmetic outcome

  • SAME-DAY surgery

  • PRESERVED kidney function

Single-Port
Robotic Surgery

Single Port Robotic System

Incision

Single – 2 inch

Pain

Minimal

Cosmetic

Superior

Recovery

One Week

Precision

Excellent

"Traditional"
Robotic
Surgery

Old Da Vinci robotic system

Incisions

5-6 incisions

Pain

Moderate

Cosmetic

Multiple scars

Recovery

3-4 weeks

Precision

Acceptable

Single-Port vs "Traditional" Robotic Surgery

Single-Port

"Traditional" Multi-Port

Incision

One Small Incision

5-6 incisions

Pain

Minimal

Moderate

Cosmetic

Superior

Multiple Scars

Recovery

One Week

3-4 weeks

Precision

Excellent

Acceptable

Ready to Discuss Single-Port Robotic Surgery?

Dr. Linke offers advanced robotic prostatectomy and partial nephrectomy with faster recovery, minimal pain, and cutting-edge precision.